
The cervix is in the bottom part of the womb, where a baby grows. It joins the womb to the birth canal. Most women who develop cervical cancer are between 20 and 50 years old. It used to be one of the main causes of death from cancer, but the widespread use of the Pap smear test has helped doctors find cervical cancer in the early stages. Cervical cancer often can be treated successfully when it is caught and treated early.

Cancer of the womb, may also be called uterine or endometrial cancer. It is the Fourth most common cancer in women, The average age for diagnosis of uterine cancer is 60. Number of younger women with uterine cancer is going up. Of womb cancers, about,25% are found before women go through menopause, 5% are found before women are 40 years old

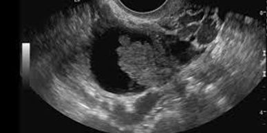
Ovarian cancer is a cancer that forms in an ovary.In 2012, ovarian cancer occurred in 239,000 women and resulted in 152,000 deaths worldwide. This makes it, among women, the seventh-most common cancer and the eighth-most common cause of death from cancer. Death from ovarian cancer is more common in North America and Europe than in Africa and Asia.

Fallopian tube cancers are rare. Importance of this cancer is that precancer stage of tubal cancers are thought to be the cause of ovarian cancer

VULVAL CANCER is rare. This accounts for fewer than 1% of cancers in women overall and about 4% of cancers of the female reproductive organs. Vulvar cancer usually grows slowly and may begin as precancerous changes that can be treated before they become cancer.

VAGINAL CANCER represents about 1% of cancers of the reproductive system in women.The vagina is called the birth canal, It goes from the bottom section of the womb to outside part of female genitals.
Dr Mathews' GynaeOncology Clinic
Dr Mathews' Clinic, No. 1,Jalan BLM 1/10, Bandar Laguna Merbok, Sungai Petani, Kedah 08000 MY
Copyright © 2022 Dr Mathews' GynaeOncology Clinic - All Rights Reserved
Powered by GoDaddy Website Builder
We use cookies to analyze website traffic and optimize your website experience. By accepting our use of cookies, your data will be aggregated with all other user data.